94853 участника Высший рейтинг 4732952

Улыбаемся чаще! Все секреты Голливудской улыбки.

24 августа 2014 | Уникальная запись

Запись относится к рубрикам:

Личные темы Стоматология

Мы хотим,чтобы в нас было прекрасно все. Мы уделяем время своему телу, лицу, весу, состоянию кожи волос и ногтей. Но есть не менее важгая наша часть-это наша красивая улыбка. В своем блоге я затрону тему имплантации и реставрации зубов.

К сожалению, не всех природа одарила здоровыми, крепкими и белоснежными зубками. У кого-то с детства проблемы со здоровьем зубов, кто-то в следсивии каких-либо жизненых обстоятельств и заболеваний и лешился одного или нескольких зубов. Многим на помощь в такой ситуации приходит на помощь протезирование на имплантах.

Давайте подробнее узнаем, что же это такое. Начнем с преимуществ. И первым плюсом является полное исключение травматизации здоровых зубов. Устойчивость и долговечность-преимущество №2, ну и, конечно же, очень надежная фиксация.Надо заметить, что нагрузка на имплантируемый зуб превыщает в полтора раза больше, чем на живой. Чтобы стать обладалем таких зубов, нужно пройти несколько этапов: установка импланта в костную ткань и, собственно, протезирование, включающее моделирование, изготовление и установку протезов на подготовленные опоры.

 

Немаловажно выбрать правильно место для внедрения импланта, от чего и будет зависеть устойчивость протеза. Приживание имплантов происходит несколько месяцев, и на это время, пока будут изготавливаться постоянные протезы, устанавливаются временные, для эстетического эффекта и, конечно же, жевательнго. Второй этап-протезирование, которое занимает достаточно длительное время на моделирование пробной конструкции из металла, и, только после нескольких примерок возможно изготовить постоянный протез. Для того, чтобы его установить, используют миниатюрные винты и стамотологический цемент.

Существуют несколько видов протезирования. Пациенту возможно имплантирование как одного, так и нескольких зубов, вплоть при полном отсутсвии зубов-полной адентии. На импланты устанавливают условно-съемные протезы для замены нескольких зубов, съемные при полной адентии, а так же несъемные протезы, которые применяются для замещения включенных дефектов зубного ряда. Материал коронок выполняется в соответствии с требованиями эстетики и финансовыми возможностями пациента. Жевательные зубы возможно заменить металлокерамическими протезами, а вот для замены фронтальных зубов стоит выбрать элитнве цельнокерамические коронки из оксида циркония, они практически неотличимы от натуральных зубов, но стоимость такого материала будет стоить в три раза дороже металлокерамики.

Будьте готовы ктому, что вся это процедура пройдет не так быстро, как хотелось бы. Сама операция по установке имплантов занимает 2-3 часа, время их приживления около 3-х месяцев. Так же, несколько дне уйдет на заживление ранок в местах разреза. Подведем итог, от начала и до конца установки протезов уйдет от4-х до 6-ти месяцев, все индивидуально. Результаты несомненно порадуют, а служить такая конструкция будет 15-25 лет.

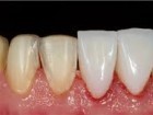
Существуют и микропротезы-виниры. Они позволяют восстановить форму и цвет одного или нескольких зубов, а так же избавить от видимых дефектов. Винировые пластинки устанавливают на переднюю часть зуба. Их используют для реставрации передних зубов.

Виниры изготавливают из керамики и светоотражаемых композитных материалов. Самая щадящая и з радновидностей винир-это "Голливудские ламинаты" из керамики и фарфора. Толщина пластин всего 0,2 мм., при их использовании избегается процедура стачивания зубной эмали зуба. Их возможно приклеить на искусственные коронки. Использование винир пможет избавиться от желтизны, эррозии зубной эмали, дефектов, имеющих обширное поражение твердых тканей и многих других проблем. Существуют и противопоказания: патологическая стираемость зубов, бруксизм (скрежет зубами), при неправильном прикусе, при отсутствии 6-7 жевательных зубов, при разрушении зуба со стороны языка и наличии большой пломбы внутренней стороны зуба, наличие риска травмирования передних зубов.

Процесс установки винир совсем не значителен по времени и позволяет оставаться в обычном ритме жизни. Главный недостаток-высокая стоимость. Срок эксплуатации винир зависит от материала изготовления. Так, композитных материалов -7лет, из керамики -10 лет и более, и, наконец самы прочные "Голливудские фарфоровые" прослужат более 20-ти лет.

 Побольше Вам всем искренних улыбок!

Всем удачи

Автор записи Всем удачи

Заведи блог на OMORFIA

И получи уникальную возможность сделать пластическую операцию совершенно бесплатно!

узнать условия участия
Комментарии (0)

Только зарегистрированные пользователи могут оставлять комментарии. Войдите, пожалуйста.

    -#